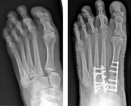
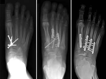
Lisfranc injury
He was seen attempting to defend a layup attempt by LeBron James but came up. These injuries range in severity from minor sprains to fracture-dislocations.
Lisfranc Midfoot Injury Orthoinfo Aaos
LISFRANC INJURY is basically known as fracture dislocation of tarsal and metatarsal joint complex which includes tarsal bones articulating with cuneiform cuboid.
. Symptoms of a Lisfranc injury may include swelling of the foot pain throughout the midfoot upon standing or during examination inability to bear weight bruising on the bottom of the foot in the arch area and. The injury is named after Jacques Lisfranc de St. Our friendly Customer Care Team is here to help you choose the right brace.
Free Shipping on 35 Orders. This particular type of injury is commonly seen in football players motorcyclists and horseback riders. Its where many bones ligaments and tendons all come together to hold your foots arch in shape and help it move.
In a Lisfranc joint injury there is usually damage to the cartilage covering these bones. The Lisfranc joint is the spot on top of your foot where the metatarsal bones the bridges to your toes connect to the rest of your foot. A Lisfranc fracture is a type of broken foot.
Lisfranc joint injuries are uncommon difficult to diagnose and frequently misdiagnosed. Lisfranc injuries can also result simply from missing the last step on the stairs. A Lisfranc injury occurs when bones break or ligaments tear in the middle region of the feet.
These do little to aid and direct the clinical management of patients. Lisfranc injury encompasses a broad spectrum of injuries which can be purely ligamentous. 1 day agoAugust 25 2022 240 pm ET.
2nd metatarsal is held in mortice created by the three cuneiform bones. Pain swelling and the inability to bear weight are common signs and symptoms. Often mistaken for an ankle sprain a Lisfranc injury is more serious in nature and may take many months to heal.
Lisfranc injuries encompass large spectrum of injuries varying from low energy to high energy complex fracture dislocations. Even a minor slip and fall can cause serious injury. Find Information on Diseases Conditions Sports Injury Personal Injury.
This is a complicated area of your foot. Oklahoma City Thunder rookie Chet Holmgren has been ruled out for the 2022-23 season due to a Lisfranc injury in his right foot the team announced. Ligamentous injury involving the tarsometatarsal joint complex.
Whilst multiple complex classification systems exist. Five of these long bones the metatarsals extend to the toes. A Lisfranc joint injury is a type of injury to the bones or ligaments or both in the middle part of your foot.
Lisfranc Injury any fracture or dislocation of the tarsal-metatarsal joint. Martin 1790-1847 a French surgeon and gynaecologist who first described the injury in 1815. Ad Medical-grade braces and supports shipped fast to your home.
Injury to 2nd metatarsal often results in dislocation of the other MTs. In the middle region of your foot midfoot a cluster of small bones form an arch. Lisfranc ligament attaches 2nd metatarsal to medial cuneiform.
Swelling is generally detected in the midfoot area on physical examination. The metatarsals dislocate from their normal articulation with the mid-tarsal bones. Dorsalis pedis may be injured in severe dislocation.
Therefore this study aims to provide a simplified treatment algorithm allowing. Holmgren suffered the injury playing in the annual CrawsOver Pro-Am in Seattle Washington. Ad Find information on chronic and acute pain its causes symptoms and recovery period.
Lisfranc Injuries Foot Health Facts
Lisfranc Injury Orthopaedic Trauma Association Ota
Lisfranc Midfoot Injury Orthoinfo Aaos
Lisfranc Injury A Matter Of A Few Millimeters
Lisfranc Midfoot Injury Orthoinfo Aaos
Lisfranc Injuries Footcare Friday Alpine Orthopedics And Sports Medicine Orthopedic Surgery
